為發揮北京科技大學材料學科專業優勢,服務材料相關專業實驗教學,北京科技大學材料國家級教學示范中心與北京科大分析檢驗中心有限公司聯合開發了一系列金相典型特征樣品,并使用徠卡智能型顯微鏡DM4 M采集了所有樣品的顯微組織,為廣大教師和實驗室技術人員提供參考。
此次為您準備了以下8個系列的金相樣品圖譜,本篇將首先為您展示鐵碳平衡組織樣品圖譜。
一、鐵碳平衡組織
二、鋼的熱處理組織
三、工模具鋼組織
四、不銹鋼組織
五、鑄鋼組織
六、鑄鐵組織
七、有色金屬合金組織
八、塑性變形組織
工業純鐵
材料狀態:退火
侵蝕劑:4%硝酸酒精溶液
顯微組織:鐵素體


08鋼
材料狀態:退火
侵蝕劑:4%硝酸酒精溶液
顯微組織:鐵素體+珠光體


20鋼
材料狀態:退火
侵蝕劑:4%硝酸酒精溶液
顯微組織:鐵素體+珠光體


45鋼
材料狀態:退火
侵蝕劑:4%硝酸酒精溶液
顯微組織:鐵素體+珠光體


65鋼
材料狀態:退火
侵蝕劑:4%硝酸酒精溶液
顯微組織:鐵素體+珠光體


T8
材料狀態:完全退火
侵蝕劑:4%硝酸酒精溶液
顯微組織:珠光體


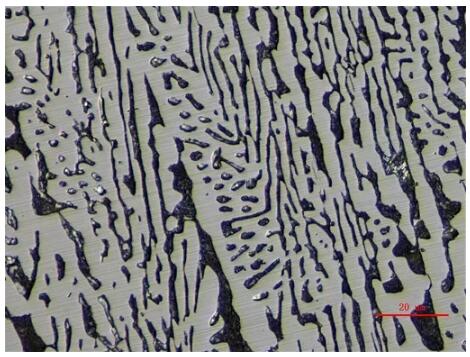
T12
材料狀態:完全退火
侵蝕劑:4%硝酸酒精溶液
顯微組織:珠光體+網狀滲碳體


亞共晶白口鐵
材料狀態:鑄態
侵蝕劑:4%硝酸酒精溶液
顯微組織:珠光體+二次滲碳體+變態萊氏體


共晶白口鐵
材料狀態:鑄態
侵蝕劑:4%硝酸酒精溶液
顯微組織:變態萊氏體


過共晶白口鐵
材料狀態:鑄態
侵蝕劑:4%硝酸酒精溶液
顯微組織:一次滲碳體+變態萊氏體


Leica DM4 M智能型金相顯微鏡

德國進口顯微鏡,主要應用于材料科學研究:
- 載物臺移動范圍:100x100mm
- 放大倍率: 50-1000
- 2 齒輪手動調焦驅動器
- 6 位或7位編碼物鏡轉盤
- 手動/電動載物臺,6個符合人體工學設計的可編程按鈕
- 照明管理系統
- 對比度管理器
- LED 照明裝置可實現所有對比度模式
- 相襯模式:明場、暗場、微分干涉相襯、偏振、熒光
- Leica Application Suite (LAS X) 軟件
關于徠卡顯微系統Leica Microsystems
徠卡顯微系統是全球顯微科技與分析科學儀器之領導廠商,總部位于德國維茲拉(Wetzlar, Germany)。主要提供顯微結構與納米結構分析領域的研究級顯微鏡等專業科學儀器。自公司十九世紀成立以來,徠卡以其對光學成像的極致追求和不斷進取的創新精神始終得到業界廣泛認可。徠卡在復合顯微鏡、體視顯微鏡、數碼顯微系統、激光共聚焦掃描顯微系統、電子顯微鏡樣品制備和醫療手術顯微技術等多個顯微光學領域處于全球領先地位。
徠卡顯微系統在全球有七大產品研發與生產基地,在二十多個國家擁有服務支持中心。徠卡在全球一百多個國家設有區域分公司或銷售分支機構,并建有遍及全球的完善經銷商服務網絡體系。